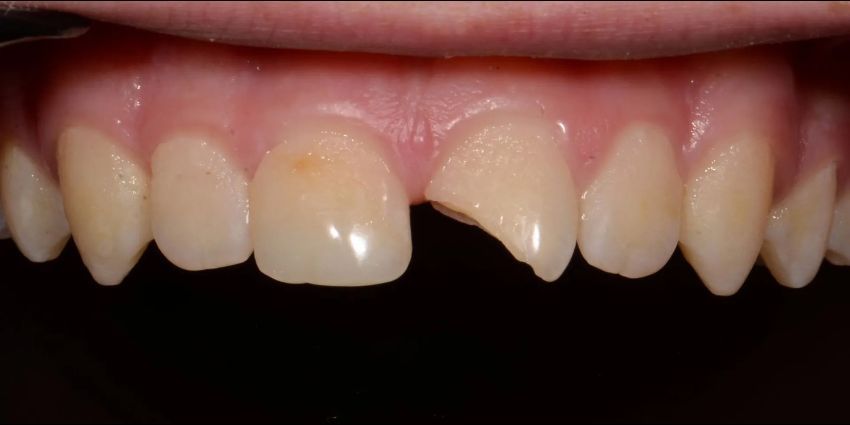
General Dentistry in Cincinnati, OH
At Covedale Dental Studio, We Treat You Like Family
At Covedale Dental Studio in Cincinnati, OH, new patients and returning patients are all cared for in a welcoming and relaxing environment. We provide certain amenities designed to maintain your comfort throughout your treatment, and we are always happy to answer your questions.
Keep reading to learn more about the
services we provide, or call us at
(513) 251-5500 to schedule your appointment today!

We Look Forward to Treating Your Entire Family!
See What Our Patients Are Saying Online
“I’ve been a patient for a number of years. The staff is very accommodating and friendly. The equipment is state of the art. Enjoy making visits.”
– Diane
★★★★★
“The comfortable atmosphere, friendly faces, and the personal references make the experience all the more enjoyable. Like seeing old friends!”
– Penny
★★★★★
Book Your First Visit
*We Do Not Accept Medicaid or Caresource Insurances.
General Dentistry
Schedule Your Appointment
today!
Your new Cincinnati dentist is waiting to help you achieve everything you’ve always wanted with your smile! Visit our Cincinnati, Ohio, dental office to experience the best service you’ve ever had from dentists. We treat adults and children alike, so call us at (513) 251-5500 to schedule your next dental treatment, and let our family dentist help you smile with confidence.
We are located on Cincinnati’s west side, only 15 minutes from downtown. You can find our office located at 4998 Glenway Avenue.


